Ortodonzia a Messina
Sorrisi Perfetti
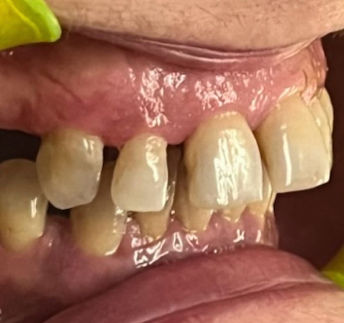
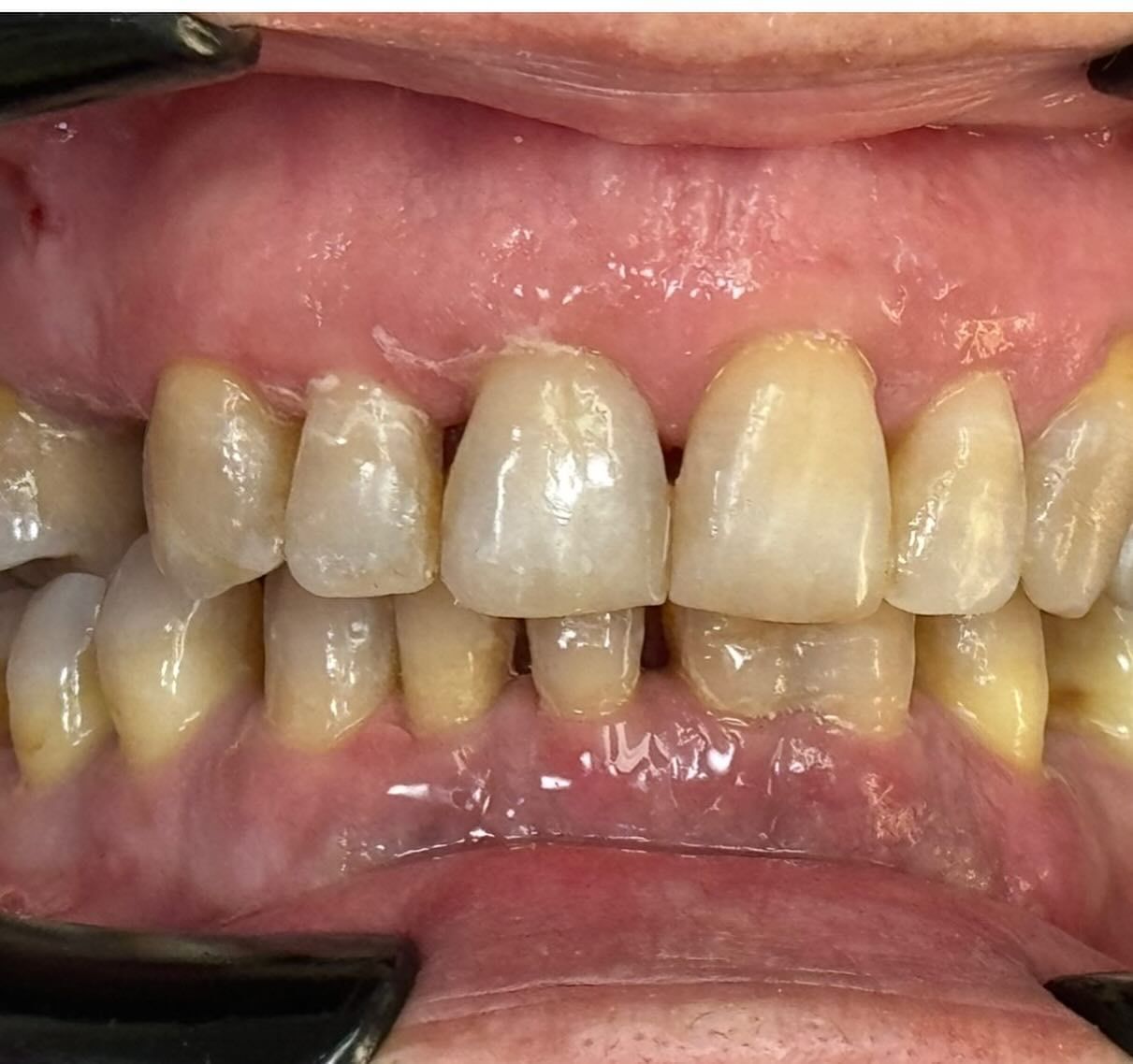
L’Ortodonzia è la branca dell’Odontoiatria che si occupa della diagnosi e del trattamento delle anomalie di posizione dei denti, delle arcate dentarie e dell’occlusione. La Dott.ssa Maria Romeo, esperta in Ortodonzia e perfezionata in Ortognatodonzia presso l’Università di Firenze, segue personalmente ogni fase del trattamento ortodontico, offrendo soluzioni su misura sia per pazienti adulti che per bambini.
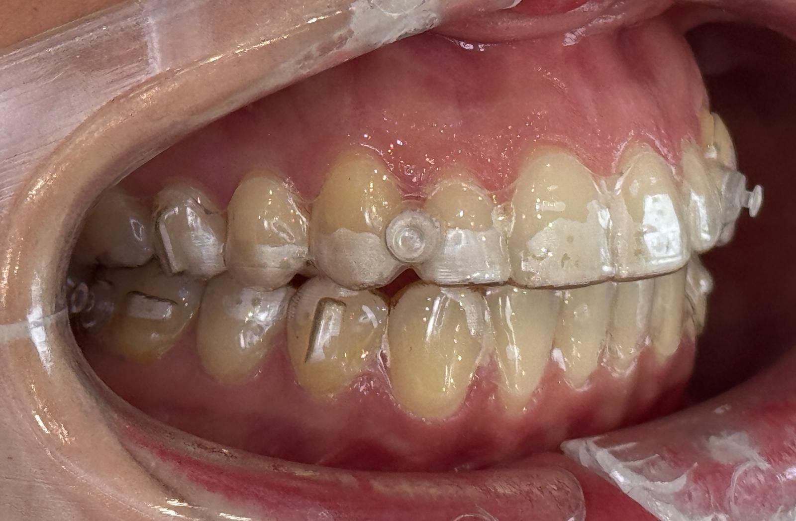
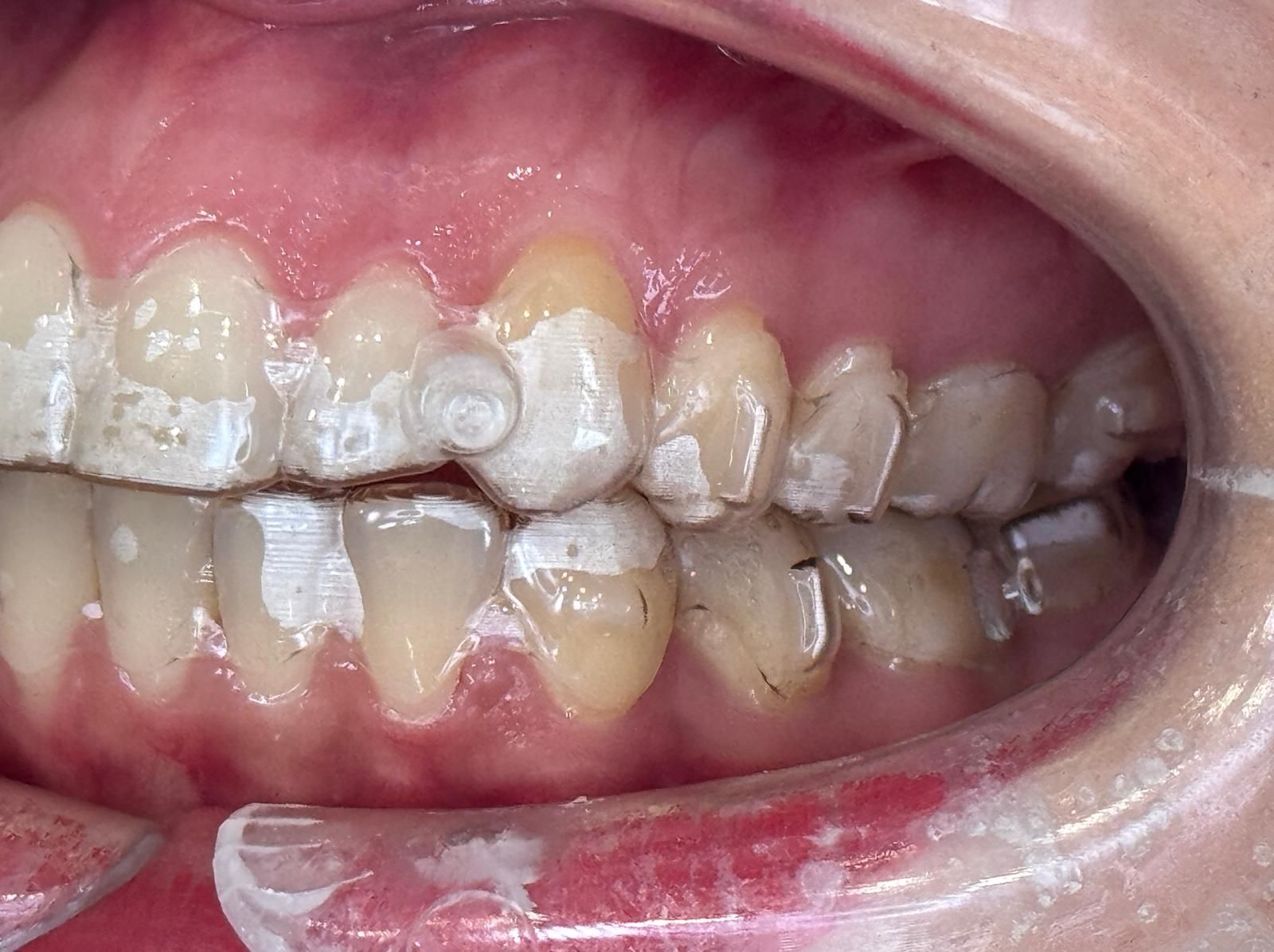
Ortodonzia invisibile
La Dott.ssa Maria Romeo, specialista in Ortognatodonzia, propone un trattamento innovativo per l’allineamento dentale che unisce efficacia e comfort. Questo metodo di nuova concezione consente di correggere la posizione dei denti in modo graduale e invisibile, senza ricorrere a fili o attacchi metallici, garantendo un’esperienza ortodontica più confortevole.
Ortodonzia linguale
Uno dei cavalli di battaglia della dottoressa Maria Romeo è senza dubbio l’ortodonzia linguale, una tecnica innovativa che prevede l’applicazione delle basette sulla superficie interna dei denti. Questo approccio offre numerosi vantaggi, poiché le apparecchiature rimangono completamente invisibili, permettendo ai pazienti di sorridere con sicurezza senza doversi preoccupare di un apparecchio visibile. Grazie a questa metodologia, i risultati estetici sono eccellenti e i pazienti possono proseguire con la loro vita quotidiana senza alcuna limitazione. Non si vede nulla, ma il risultato finale è un sorriso perfetto e allineato!
Scanner intraorale
La digitalizzazione dei processi rappresenta uno dei nostri principali obiettivi, con l’intento di migliorare il comfort dei pazienti, ridurre i tempi di attesa e garantire sempre standard elevati di qualità. Per questo motivo, abbiamo introdotto nello studio lo scanner intraorale, uno strumento innovativo per la rilevazione delle impronte digitali. Grazie a questa tecnologia, è possibile acquisire in modo rapido e confortevole un modello digitale preciso della tua bocca, senza l’uso di paste o cucchiai tradizionali. Questo ci consente di analizzare insieme a te la situazione clinica e pianificare con accuratezza ed efficienza le terapie più adatte al tuo benessere.




















